找回密码
 注册

微信登录

微信扫一扫,快速登录

手机动态码快速登录

手机号快速注册登录

搜索
查看: 24922|回复: 0

温州73岁孤寡老人瘫痪在床,一杯 “神奇药水”下肚,竟能拄拐走路!

[复制链接]

1

主题

0

回帖

1

积分

嫩笋

积分
1
发表于 2025-12-16 08:20 | 显示全部楼层 |阅读模式
“以前瘫在床上下不了地,连翻个身都要麻烦侄子,现在我能拄着拐杖自己走了,真是捡回半条命!”近日,73岁的林伯(化名)在温州医科大学附属第二医院核医学科复查时,脸上满是笑意。谁能想到,这位右眼失明多年、还因癌症瘫痪的孤寡老人,仅凭一杯看似普通的“药水”,就从绝望中站了起来。

林伯的人生过得不容易,无儿无女,靠着低保度日,右眼早已失明。更让他崩溃的是,几年前查出甲状腺乳头状癌,后来癌细胞转移到胸椎,压迫到脊髓,导致双下肢彻底瘫痪。“当时觉得天都塌了,吃喝拉撒全靠侄子照顾,我一个孤寡老人,真是拖累人。”林伯回忆,那段时间他整日躺在床上,连活下去的勇气都快没了。

就在全家一筹莫展时,温医大附二院核医学科医生带来了希望:可以试试核医学的“靶向内照射”治疗,也就是喝一杯含有碘-131的“神奇药水”。“喝杯水就能治癌?还能让我站起来?”林伯一开始满是怀疑,毕竟传统放疗化疗的痛苦他早有耳闻,可自己年纪大、身体弱,根本扛不住大手术和强化疗。

核医学科医生耐心解释:“甲状腺细胞和癌细胞都特别‘喜欢’碘,这杯药水里的碘-131就像‘智能导弹’,喝下去后会顺着血液找到癌细胞,精准聚集在病灶里。”更神奇的是,碘-131释放的射线射程只有1毫米左右,只会“定点清除”癌细胞,不会伤到周围的正常组织——这对压迫脊髓的胸椎转移灶来说,既能杀瘤,又能保护脆弱的神经,为恢复创造机会。

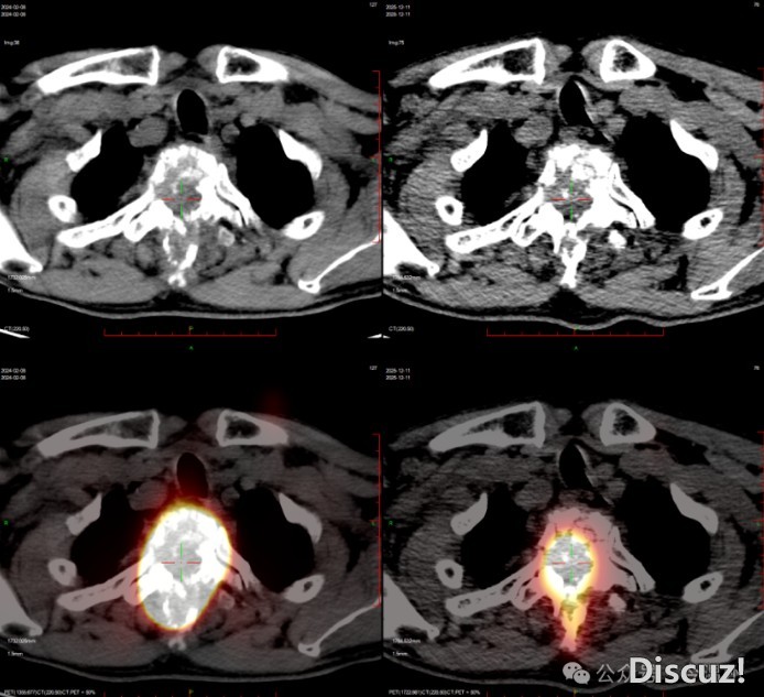
胸椎转移瘤伴脊髓压迫治疗后,病灶缩小
image.jpg
治疗过程比林伯想象的简单多了:就像喝普通盐水似的,一口喝下“药水”,然后在核素防护病房里隔离一段时间,等辐射衰减达标就能出院。随着治疗推进,奇迹慢慢发生:林伯感觉腿上有了知觉,原本麻木的双腿渐渐能轻微活动,再后来,在侄子的搀扶下能坐起来,最后竟能拄着拐杖慢慢走路了!复查显示,他胸椎上的转移灶明显缩小,脊髓压迫减轻,神经功能在逐步恢复。

“对于林伯这样高龄、一般情况较弱的患者,治疗的安全性至关重要。”医生介绍,碘-131这种治疗不用开大刀、不用遭化疗的罪,副作用远小于传统方法,特别适合林伯这样的情况。如今,林伯不仅能自理生活,还能在院子里慢慢散步,重新找回了生命的尊严。


您需要登录后才可以回帖 登录 | 注册 微信登录 手机动态码快速登录

本版积分规则

不良信息举报(0577)88703804 举报QQ 139703804|违法和不良信息举报中心|自律管理承诺书|手机版|小黑屋|柒零叁网 ( 浙ICP备08111123号-1 )

GMT+8, 2025-12-20 09:29 , Processed in 2.457943 second(s), 25 queries .

Powered by Discuz! X3.5

© 2001-2025 Discuz! Team.

快速回复 返回顶部 返回列表